
Bienvenue sur le site internet de l’association
Ensemble pour eux
Association humanitaire suisse basée à Granges-Marnand qui participe à des missions chirurgicales au Burkina Faso, au Mali et à Madagascar.
Nos actualités
A vos agendas !
Le traditionnel BRUNCH d’Ensemble pour Eux aura lieu le dimanche 3 mai 2026 !

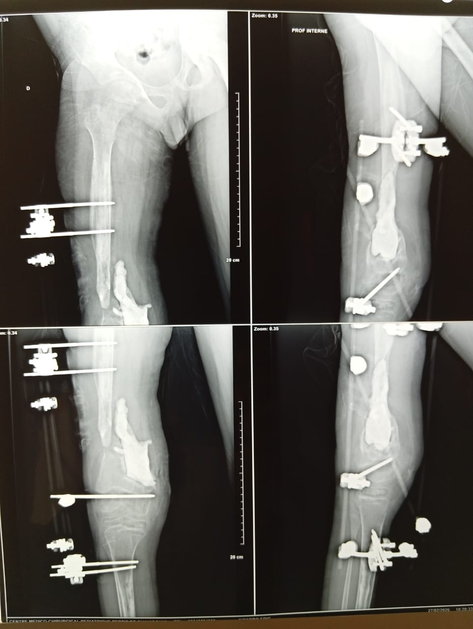
Mission orthopédique à Ouahigouya – Janvier 2026
Une reprise de mission après 4 ans de pause « forcée » pour des questions de sécurité dans la zone de Ouahigouya. Un Centre magnifique que EPE a retrouvé avec tout son personnel, fidèle et engagé ! Que du bonheur. Le Dr Philippe Bédat, chef de mission, avait effectué 2 voyages « en éclaireur » en 2025. Nous avons été renforcés au niveau chirurgical par le Dr Benoi Kamaté, chirurgien pédiatrique à Bamako et qui désire se renforcer en orthopédie (il est le mari de la Dr Rokiatou Kone avec qui nous organisons les missions au Mali).
59 patients consultés et 28 opérés pour des grosses pathologies. EPE comptait 3 infirmières dont Hélène, l’épouse de notre ami Augustin, malheureusement décédé, et 2 animateurs dont un du Burkina Faso. Une équipe très efficace et sympathique…que de la joie de travailler ensemble !
Chaque soir, pour clore la journée, un petit colloque avait lieu avec Dr Bédat, Dr Kamaté, Karim, Ben, Sankara, notre ancien infirmier et nous le personnel EPE…Il faut relever aussi que le personnel infirmier local est extraordinaire et que nous avons travaillé avec lui main dans la main de manière très efficace et productive. Les soins, l’antalgie, toutes les prises en charge se sont très bien passées. Nous sommes reconnaissants envers tous nos Amis aussi du bloc, de la chirurgie, de l’anesthésie avec qui nous avons œuvré en parfaite harmonie ! MERCI à tous ! MERCI aussi au Dr Zala et Madame Zala de nous accueillir dans dans leur très beau Centre PERSIS. MERCI aussi à Ramata qui nous a « bichonnés » avec de bons petits plats !
Les photos sont parlantes et montrent la complexité de cette chirurgie ! Comme nous l’avons dit à notre ami Dr Bédat… »vous êtes des magiciens ». Notre admiration est grande !



Missions « fentes » à Madagascar – Novembre 2025
Cet automne, Ensemble pour eux a participé à une mission maxillo « fentes » au cours de laquelle 47 patient.e.s ont pu être opéré.e.s, pour la plupart de fentes labio-palatines dont une majorité de palais. L’équipe de chirurgie avec qui nous avons collaboré était à 100% malgache : deux chirurgiens de Tana, deux anesthésistes de la Clinique Santé Plus et une équipe locale pour les assister. De son côté, l’équipe d’EPE a assuré les soins pré et postopératoires, ainsi que l’animation.
Une magnifique mission et de la très belle chirurgie ! BRAVO aux deux jeunes chirurgiens Drs Ranto et Andry. Des équipes solidaires et efficaces avec qui nous sommes très heureux de collaborer.

1. Lucael et son premier yogourt. 2. Partie de pétanque. 3. Distribution des médicaments avec Richard et Angela. 4. La consultation avec les deux chirurgiens malgaches, Dr Ranto et Andry. 5. Ingrid et Sylviane aux soins.





De retour à Bamako – Septembre 2025
La particularité de cette mission s’est trouvée dans la diversité des pathologies traitées. Un élément nouveau : la prise en charge de « goîtres » qui rime avec des interventions qui demandent une attention toute particulière et des examens plus complexes que les autres tumeurs (dosages thyroïdiens, participation des endocrinologues, etc.) Ces interventions sont, en conséquence, plus onéreuses.
Cette mission dans la capitale malienne a permis d’opérer 45 patient.e.s. « Assemblées en fagot, même les brindilles sont incassables. » Ensemble, on est plus fort !
1. Françoise, Maryse, Bouba, Sylviane, Josette et Rokia (devant). 2. Equipe du bloc et EPE Clinique Fanta Dabo. 3. Fatao entouré de son papa et de Sylviane.



Missions du printemps 2025 – De Bamako à Antsirabe
En mars 2025, une mission maxillofaciale a eu lieu à Bamako avec Drsse Rokia Kone, celle-ci a permis de traiter une vingtaine de patients souffrant de tumeurs/constrictions (comme en souffrait Djaminatou et Djenèba comme présenté ci-dessous) et d’une vingtaine de fentes labio-palatines diverses. EPE se réjouit de la grande qualité du personnel de la Clinique Fanta Dabo et de son sens de la solidarité, de la gentillesse et de l’efficacité. Une magnifique ambiance.
Djaminatou, 15 ans, souffrait d’une tumeur maxillaire gauche.

Djenèba, 32 ans, souffrait d’une ankylose (soudure) de l’articulation temporo-mandibulaire bilatérale. L’opération a consisté à faire la résection du bloc d’ankylose.


Puis, fin mai 2025, une magnifique équipe s’est envolée pour Madagascar pour une première mission orthopédique avec le Dr Bédat, au total 73 consultations pour 45 patient.e.s opéré.e.s.

Article paru dans La Broye le 10 avril 2025

Mission maxillofaciale à Antsirabe du 30 novembre au 19 décembre 2024 – Madagascar
Mission organisée avec Les Enfants du Noma (EDN), association française avec laquelle nous cheminons depuis longtemps. Magnifique équipe très homogène au niveau de l’état d’esprit et des compétences : respect, bienveillance, gentillesse ont fait que nos échanges furent très bons. Les patients consultés étaient au nombre de 83 constitués de fentes labio-palatines, de tumeurs en tous genres, de kystes, de parotides, de séquelles de brûlures, d’accident, etc. Malheureusement pas assez de fentes (Dr Béatrice Morand est une spécialiste de cette pathologie) ni d’autres opérations. Plusieurs soucis de recrutement ont créé cette situation (missions concurrentes dans le nord et à Antsirabe, émission TV projetée seulement après la mission, etc.)
Malgré cela, nous avons travaillé main dans la main avec nos amis de la Clinique Santé Plus, le personnel d’Ensemble pour Eux au nombre de 6 personnes, avec Angela notre recruteuse des patients du Nord et le personnel du Centre Tsiky. Ce fut une mission plutôt allégée mais riche. Nous sommes heureux de ce qui a été fait et nous nous plaisons à citer Antoine de St-Exupéry :
« Celui qui veille modestement quelques moutons sous les étoiles, s’il prend conscience de son rôle, se découvre plus qu’un serviteur: il est une sentinelle. Chaque sentinelle est responsable de tout l’empire… »
Sylviane

Ci-dessous : 1. Les soins pour une fente palatine. 2. Une petite fille souffrant d’un gros naevus invasif. 3. Notre petite crevette qui ne pesait que 3’400g. 4. Le personnel de mission malgacho-suisse.




Madagascar – Mai/Juin 2024 : Mission fentes labio-palatines à Antsirabe
Cette mission traitant des fentes labio-palatines a été toute particulière dans le sens que le personnel de mission, à l’exception des bénévoles d’Ensemble pour Eux, était complètement malgaches : 3 jeunes chirurgiens dont 2 maxillo et 1 ORL accompagnés de nos 2 jeunes anesthésistes de la Clinique Santé Plus. C’est eux qui ont pris en charge les 46 opérations de fentes chez des enfants et des adultes de 6 mois à 45 ans, la majorité étant des enfants.
Accompagnés du personnel de la Clinique Santé Plus du Dr Benjamin et d’Ensemble pour Eux, cette mission a été une réussite. Non seulement la chirurgie, l’anesthésie et les soins se sont très bien déroulés, mais il faut relever surtout l’état d’esprit positif et la bienveillance de chacun, sans compter le grand professionnalisme et la belle collaboration entre les différents partenaires. Cette mission nous a apporté que du bonheur ! Et tous s’accorde de renouveler l’expérience.
Sylviane
Quelques pathologies maxillofaciales, photos prises en juin 2024 à Antsirabe.






Article paru dans La Broye le 25 avril 2024

Aminata Traoré & la situation politique au Mali
Nous vous proposons de regarder ce reportage sur la Malienne Aminata Traoré qui porte un regard critique de l’ex-ministre malienne de la Culture sur la présence militaire étrangère, le combat contre le djihadisme et les conséquences de la mondialisation en Afrique.
Géopolitis (RTS), Afrique, changer de regards, 24 mars 2024 : www.rts.ch/emissions/geopolitis/2024/video/afrique-changer-de-regards-28446706.html
Madagascar – Février 2024
Richard et Angela, la dame recruteuse des enfants de la région de Sambava et Andapa (pays de la vanille), sont présentement en train d’organiser le suivi des traitements des plâtres des 22 enfants qui sont plâtrés et dont le traitement n’est pas terminé.
Ils sont à la recherche d’un orthopédiste à même d’effectuer le suivi de ces enfants. Dès le traitement terminé, les enfants devront porter une attelle la nuit pendant des mois . Ces attelles seront envoyées à Angela qui va les distribuer. Lors de la mission, nous avons pris à chaque enfant les empreintes de leurs pieds et le prothésiste de Tana a confectionné les attelles. EPE prend en charge les attelles et le coût du suivi par le chirurgien local.
Photos prises en février 2024 à Antsirabe.








Témoignages de nos fantastiques bénévoles
C’était pour moi ma première mission et ma première fois à Madagascar. J’ai rencontré les missionnaires à l’aéroport de Genève. Nous nous sommes retrouvées en décrivant nos vêtements. Sylviane m’a accueillie avec un grand sourire et d’intéressantes conversations, je me suis tout de suite sentie à l’aise. Ce qui m’a particulièrement plu lors de cette mission, c’est l’accueil des personnes locales. Sûrement grâce à notre hôte très attentionné, le Docteur Benjamin, tout le personnel sur place ainsi que les gérants du Centre où on logeait étaient très gentils. Ils voulaient toujours aider et avaient beaucoup de patience pour essayer de nous comprendre. J’ai l’impression que nous avons bien partagé nos cultures, malgache et suisse, en nous montrant mutuellement l’organisation suisse et la jovialité malgache. Malgré les fréquentes coupures de courant et d’eau et les multiples araignées/moustiques, c’était un plaisir d’être à Madagascar. Nous n’avons pas du tout fait de tourisme et pourtant j’ai l’impression d’avoir découvert plus du pays qu’en voyageant. En fréquentant les malgaches, je me suis rendue compte de la chance que j’avais et ma perspective sur le monde a pas mal changé. Je suis contente d’avoir pu aider dans les opérations/soins de dizaines d’enfants, auxquels je me suis bien attachée.
Avant de partir, on m’a dit « tu verras, les missions c’est soit plus jamais, soit encore et encore ». Moi j’ai ma réponse, c’est « encore et encore ! »
Merci Sylviane et Richard pour cette organisation, ce partage et cette découverte. Je me suis toujours sentie bien en sécurité.
Sophie
Oui, se fut une mission magnifique !!! Pour moi une première. J’en retiens et j’en reviens qu’avec de MERVEILLEUX souvenirs gravés dans mon cœur pour toujours. Nous avons été une équipe de choc. Prête à tout, peur de rien (sauf des araignées).
Tous nos échanges, partages ont été très enrichissants et je vous parle même pas de mes fous rires innombrables et inoubliables qui me font encore sourires. Je vous remercie toutes.
Et je tiens tout particulièrement à dire que toi et Richard vous êtes extraordinaires. J’ai été émerveillée par votre force, votre résilience, votre courage, votre énergie, votre compassion et votre AMOUR pour tout ce que vous faites. RESPECT.
Je vous embrasse et au plaisir de vous revoir et de vivre d’autres aventures avec vous.
Sandrine
Oui, ce fut une mission extraordinaire, riche en rencontres, partage, échanges et, comme l’a relevé Sandrine, d’innombrables fous rires, je n’aurai pas pu rêver mieux !
Merci à vous 2, Sylviane et Richard, pour votre engagement sans faille, avec un Amour infini pour toutes les personnes que vous côtoyez, aidez et soutenez.
Et bien sûr merci aussi à vous autres chères collègues de mission, à Angela et à l’équipe malgache pour tous ces bons moments de partage qu’on a passé ensemble.
Je vous embrasse tous, vous resterez gravés dans mon
pour toujours.
Nathalie
Bamako – Octobre/Novembre 2023
Trois missions ont successivement eu lieu à Bamako l’automne dernier. Des interventions maxillo-faciale, mais aussi dix interventions pour soigner des patients qui souffraient de tumeur au visage qui nécessitaient d’urgence une opération.
Photos prises lors des missions de l’automne 2023 à Bamako.








Mai 2023 – Mission à Bamako
Ensemble pour eux a participé à une mission de chirurgie maxilofaciale à Bamako au Mali en collaboration avec la chirurgienne Dresse. Rokiatou Kone et l’association Smile Train.
Une petite mission au niveau du nombre d’opérés qui a inauguré la nouvelle clinique de Rokiatou Kone. Tout s’est très bien déroulé à l’animation comme aux soins.
Un grand merci à nos bénévoles Sylviane et Solveig aux soins et Antoinette et Martin à l’animation pour leur travail !
Photos de la mission de mai 2023 à Bamako.












Futures missions
Vous souhaitez devenir bénévole et partir en mission ? Cliquez sur le lien ci-dessous.
Nous soutenir
Bénévolat, dons, devenir membre de l’association, vous pouvez nous soutenir de différentes manières. Pour en savoir plus :



Proverbe africain
« Tout seul on va plus vite, mais ensemble on va plus loin. »





Des sourires, encore des sourires…
Ensemble pour eux
Sous le bois 17
1523 Granges-Marnand
Suisse
Tél : 026/668.16.85
Mail : info@ensemblepoureux.com